
蛔/鞭/蛲/钩虫虫卵形态(及鉴别)?
| Created | |
|---|---|
| Tags |
✅
Done

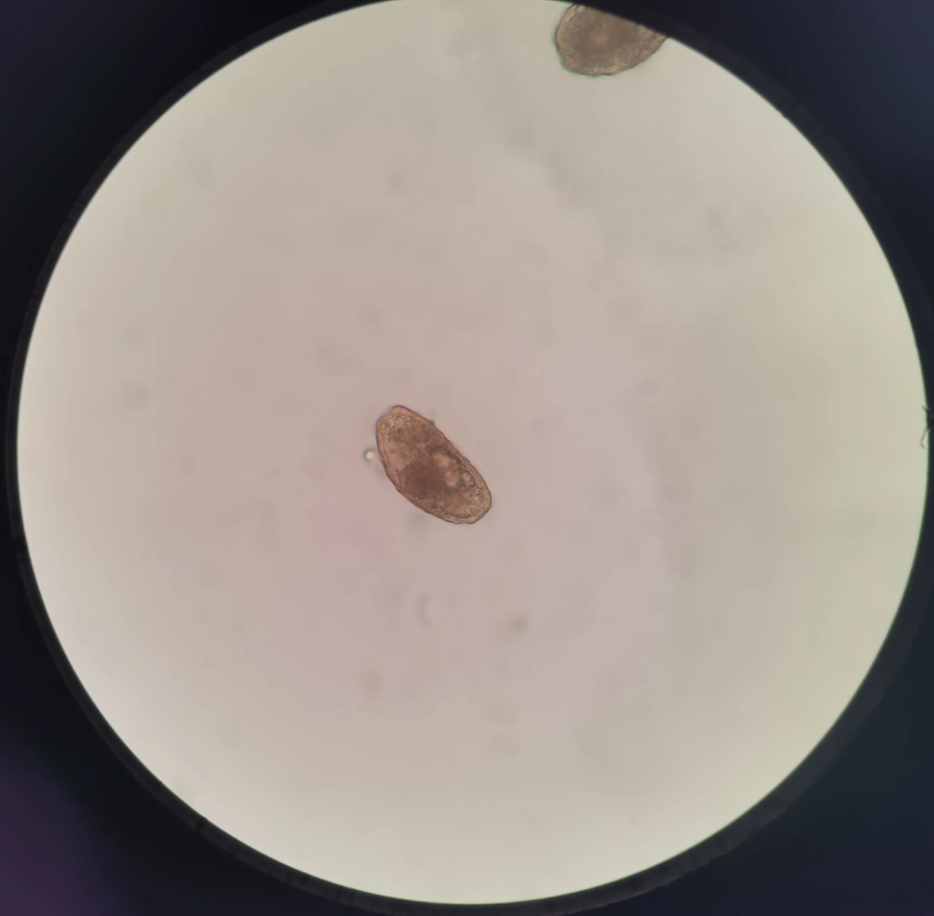
受精蛔虫卵
受精卵呈宽椭圆形,大小为(45~75) m×(35~50)wm。卵壳较厚。卵壳外常有一层由子宫分泌物形成的凹凸不平的蛋白质膜,被宿主胆汁染成棕黄色,卵内含有1个大而圆的受精卵细胞,在其两端与卵壳间可见新月形空隙。
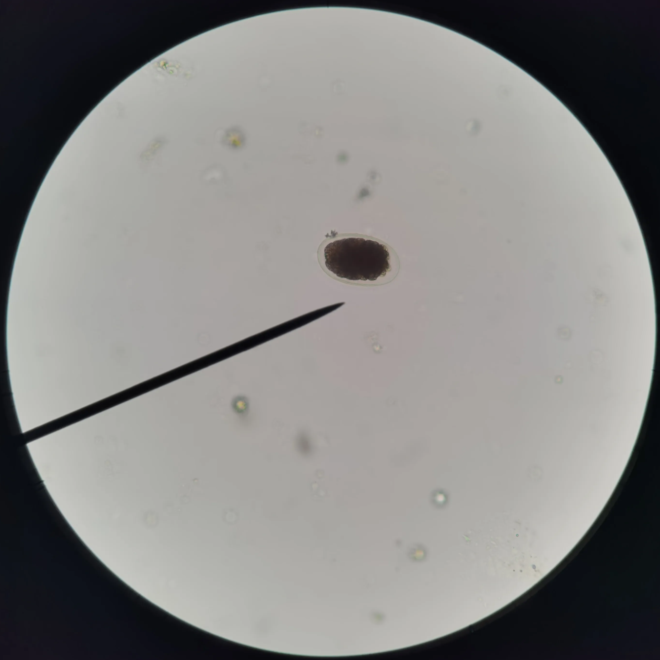
未受精蛔虫卵
未受精卵呈长椭圆形,大小 (88~94)um× (39~44)Mm, 卵壳与蛋白质膜均较受精蛔虫卵薄,卵内充满大小不等的折光颗粒。
💡
没有新月形空隙
去蛋白膜蛔虫卵
蛔虫卵壳周围蛋白质膜脱落后,成为脱蛋白膜的蛔虫卵,观察时应注意与其他虫卵相鉴别。
感染期蛔虫卵
蛲虫卵
虫卵无色透明,长椭圆形,两侧不对称,一侧扁平,另一侧稍凸,大小(50~60)um x (20~30)um,卵壳较厚,刚产出的虫卵内含一蝌蚪期胚胎[图 15-8,文末彩图2(12)]
钩虫卵
💡
钩虫卵 壳薄,透明,多细胞,间隙明显
椭圆形,大小(57~76)μm× (36~40)μm,两端钝圆。卵壳较薄, 无色透明,卵内通常含2~4个卵细胞, 卵壳与卵细胞之间有明显空隙。在便秘者粪便内或粪便放置过久时,卵内细胞可继续分裂成桑葚状。两种钩虫卵形态相似,不易区别。
鞭虫卵
💡
纺锤状,壳厚,两端透明盖塞(安塞腰鼓!学起来就发狠了忘情了没命了!)4
虫卵呈纺锤形或腰鼓形, 大小(50~54)μm x (22~23)μm,棕黄色, 卵壳较厚,两端各有一透明塞状突起。虫卵随粪便排出时,卵内有1个尚未分裂的细胞。



















